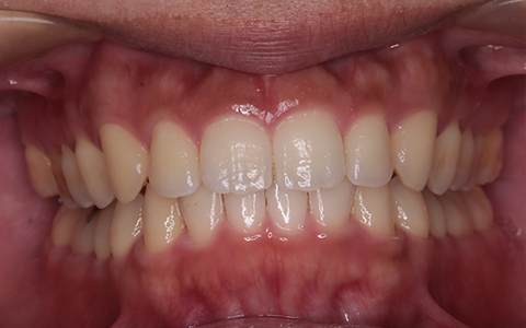
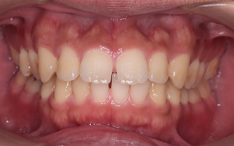
選べるマウスピース矯正
あなたに合うマウスピース矯正が
きっと見つかる
For Your Smile



選べるマウスピース矯正
あなたに合うマウスピース矯正が
きっと見つかる
For Your Smile


部分矯正用
39万円
(税込429,000円)
本体価格+調整料込
ライトプラン
軽度~中等度用
59万円
(税込649,000円)
本体価格+調整料込
スタンダードプラン
重度用
78万円
(税込858,000円)
本体価格+調整料込
エキスパートプラン
マウスピース矯正をお考えの方は、
お電話もしくはWEBから
矯正相談をご予約ください
LINEやメールによるご相談も
受け付けております。
こちらもぜひ
ご覧ください!
FEATURES
当院のマウスピース矯正

こだわりのマウスピース矯正
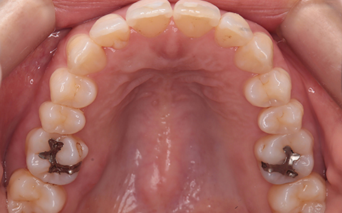
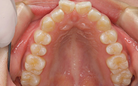
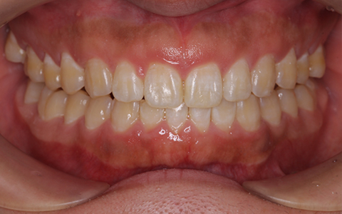
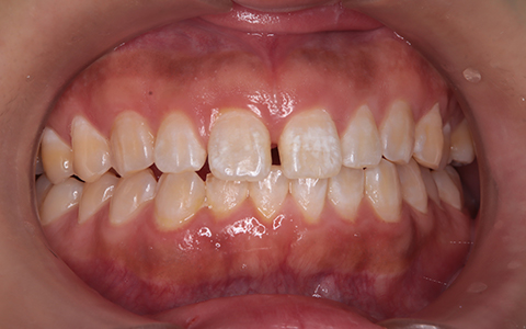
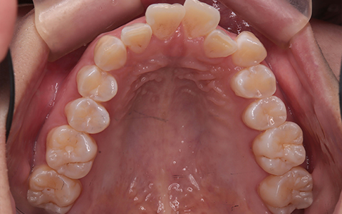
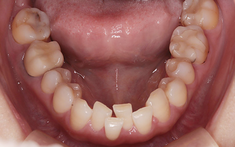
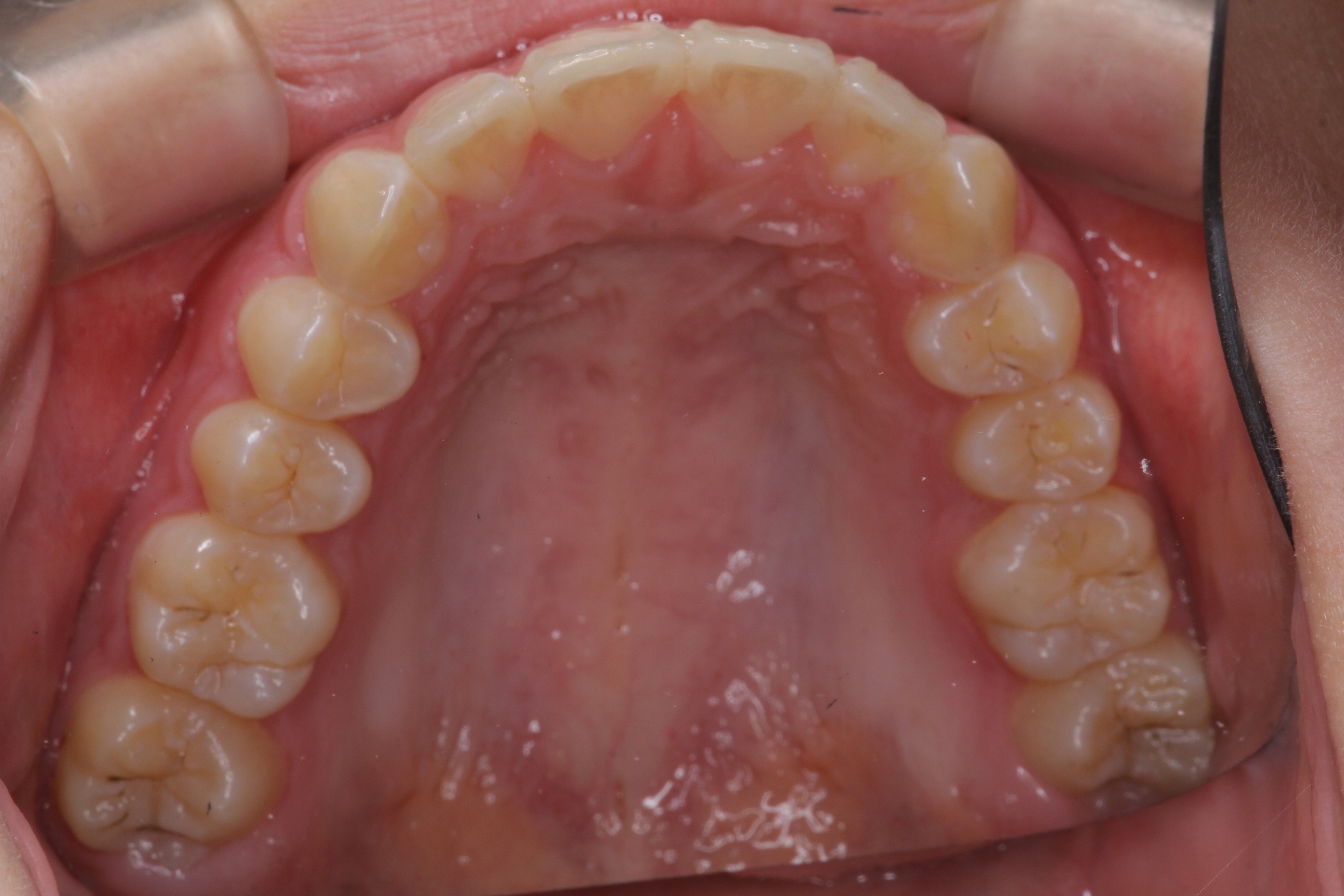
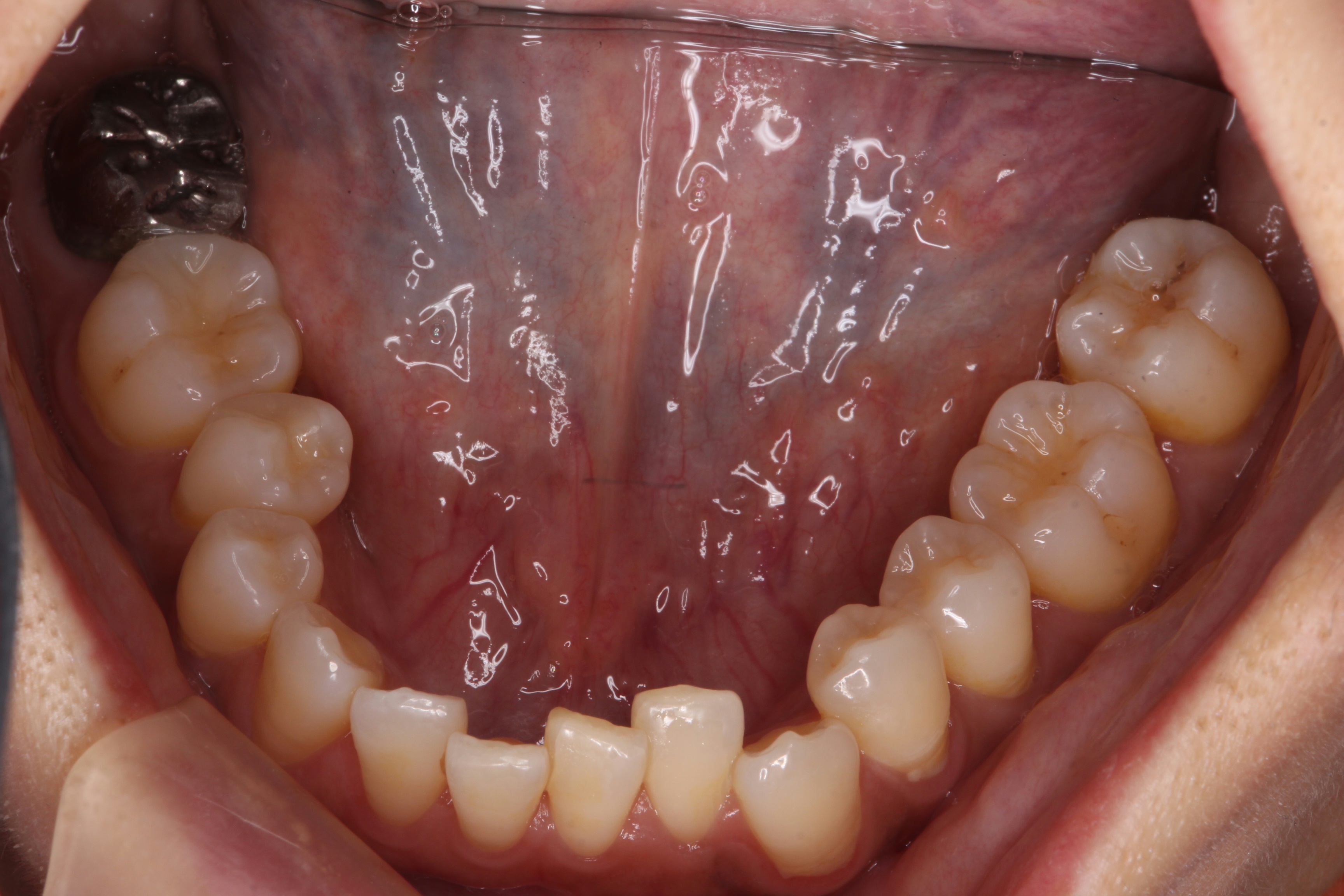
当院では、歯並びをただキレイにするだけではなく、噛み合わせなどの機能面やお顔全体のバランス、Eラインを考えたマウスピース矯正を行います。Eラインとは、顔を横から見た時に、鼻と顎を結んだ直線のラインのことで、そのライン上かもしくは、少し内側に口が位置していると理想的なお顔立ちだと言われています。
01
歯並び以外の
こだわりポイント
Point
POINT
01
噛み合わせなどの機能面
POINT
02
お顔全体のバランス
POINT
03
Eライン
見た目だけキレイにする安い金額の矯正治療で後悔する方が
増えています。
当院では、上記全てを考慮した矯正治療を行っておりますのでご安心ください。

遠隔デンタルモニタリング
システムで通院不要
当院は、デンタルモニタリングシステムを取り入れております。
スマートフォンのアプリを利用することで、オンライン診療が可能になります。ご自宅にいながら診察を受けることができますので、通院回数を必要最低限に抑えることができます。
02
デンタル
モニタリングシステムの
メリット
Merit
通院回数の軽減
遠隔診療にて歯並びが計画通りに動いているかを確認することができますので、通院回数を必要最低限に抑えることができます。
効率的な治療
デンタルモニタリングで口腔内を確認すると、歯の移動不足などをAIにより早期に発見できますので、その後のリカバリーがとてもスムーズです。
歯並びの変化を実感
口腔内を撮影しデータで残していくことで、歯並びの変化を実感することができますので、治療に対し意欲的に取り組むことができます。
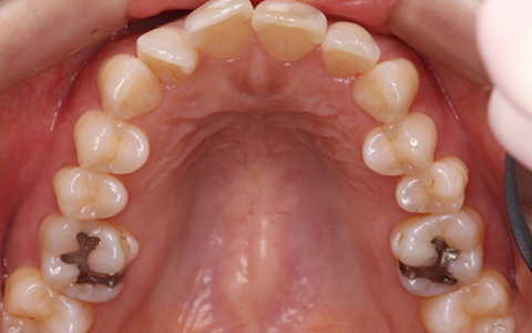
精密な検査・診断
マウスピース矯正は事前の検査・診断がとても大切で、事前の検査・診断によって結果が変わってきます。
当院では、歯科用CTによる3D画像診断、セファロレントゲンによる顔の骨格の診断、
3D口腔内スキャナーによる負担の少ない型取りなど、精密な検査・診断のために先端設備を豊富に導入しています。
金額が極端に安い場合は、歯科用CTやセファロレントゲンによる分析を行わずに治療を進める場合がございます。
治療前の正確な診断は結果に大きくかかわってきますので、しっかりと検査・診断を行う歯科医院を選択するようにしましょう。
03
歯科用CT
セファロレントゲン
3D口腔内スキャナー

光加速装置で治療期間を短縮
04
早く歯並びを
キレイに

総合歯科医院による
トータルケア
05
むし歯や
歯周病も
安心

無料託児サービスで
お子連れでも安心
小さなお子さんがいても安心して通えるよう、無料託児サービスを行っています。保育士の資格を持つ専門スタッフが対応させていただきますのでご安心ください。また、ベビーカーを広げたまま入ることができる診療室もご用意しております。
06

通算症例数3,000件以上の
豊富な実績
当院で行うマウスピース矯正は、これまでに3,000件以上の実績をもつマウスピース矯正医が監修を行っています。さまざまな歯並びを改善してきた豊富な実績をもとに、患者さん一人ひとりに合う適切な治療を行います。どのような歯並びでもお気軽にご相談ください。※2023年時点
07
お子様でも
マウスピース矯正が
できます!

マウスピース矯正はマウスピースを所定の時間つけるだけで治療が完了するため、お子さまやご両親に負担が少なく済むのが特長です。
Pediatric




見た目に影響しづらい
透明な装置のため目立ちにくく、見た目が気になるといったストレスが軽減されます。

痛みが少ない
徐々に歯を動かして、段階的に歯並びを整えていくため、従来の矯正方法に比べて痛みが少ないです。

通院頻度が少ない
1~2か月に1回程度、定期的に担当の歯科医院で治療の進行具合の確認してもらいます。
マウスピース矯正をお考えの方は、
お電話もしくはWEBから
矯正相談をご予約ください
LINEやメールによるご相談も
受け付けております。
MOUTHPIECE
マウスピース矯正
(インビザライン)とは
全世界で
1,100万人以上が使用した
透明なマウスピース矯正
マウスピース矯正は透明なマウスピースを用いて行う矯正方法です。
装置が目立ちにくいことから手軽にできる矯正方法ですが、抜歯が必要な症例や歯の移動距離が大きい症例でも対応可能です。
当院が使用するインビザラインは、症例実績が多く全世界で1100万人が使用したマウスピース矯正です。
(2021年9月時点)
マウスピース矯正は
従来の矯正治療に比べ、
とても多くの
メリットがあります
Merit
01
装着しても目立ちにくい
マウスピース矯正は装置が透明なので、装着していても装置が目立ちにくく、矯正治療中だと気付かれにくいです。
02
装置の取り外しができる
マウスピース矯正は取り外すことができます。お食事や歯みがき時に取り外すことでいつも通りの食事、歯みがきができます。
03
費用が高くなり過ぎない
ワイヤー矯正は、調節のたびに通院しなくてはいけませんが、マウスピース矯正は通院の間隔が長く、回数も少ないため費用を抑えられます。
04
痛みや違和感が少ない
従来の矯正はワイヤーやブラケット部分が口内に触れ、違和感や傷つくことがありましたが、マウスピース矯正は、滑らかな素材のため違和感や痛みが少ないです。
05
通院回数が少なく済む
一度に数枚のマウスピースをまとめてお渡しいたしますので、従来の矯正治療に比べると通院回数が少ないです。
マウスピース矯正は
幅広い症例に
対応が可能です。
どのような歯並びでも
まずはご相談ください
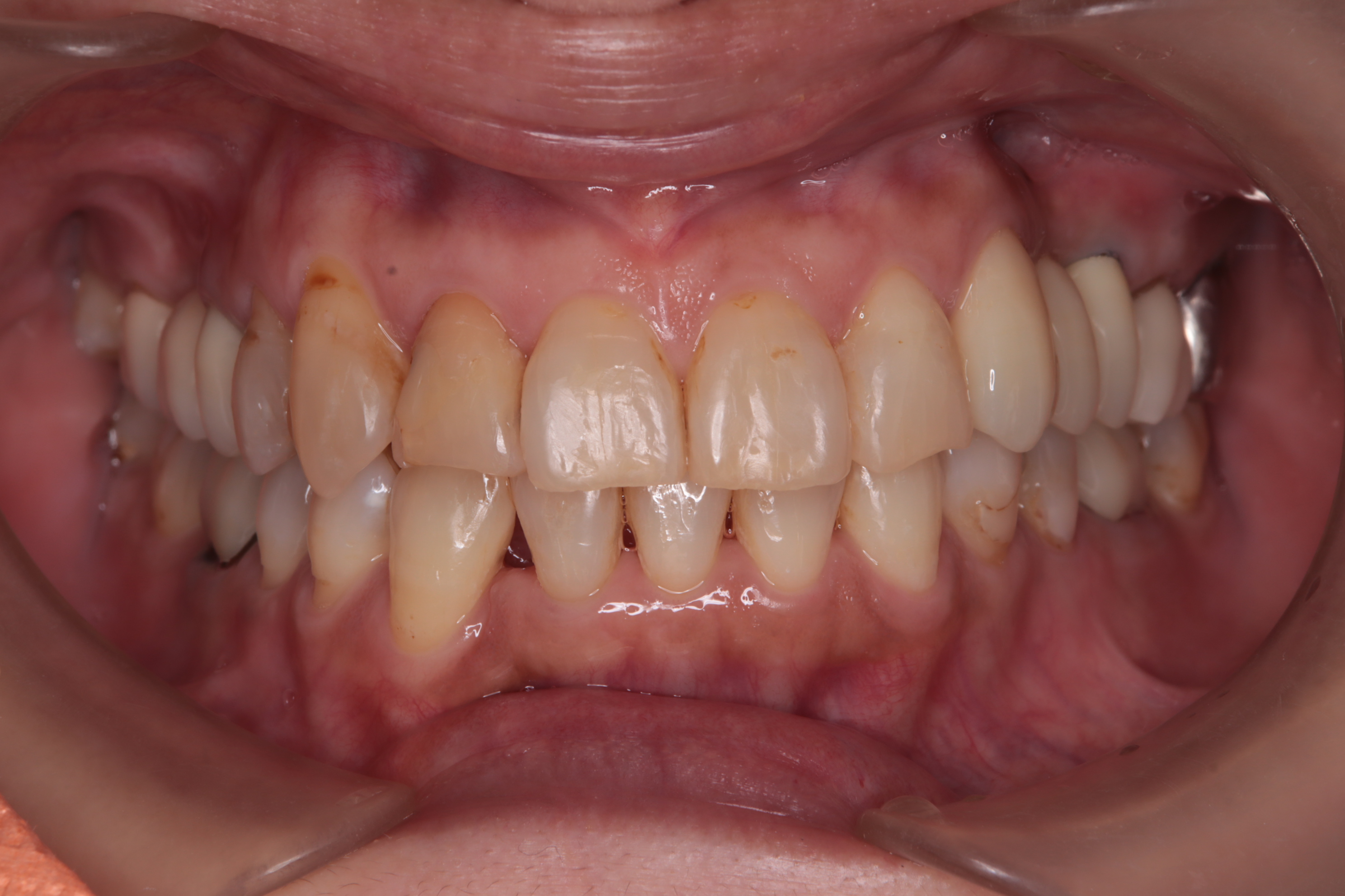
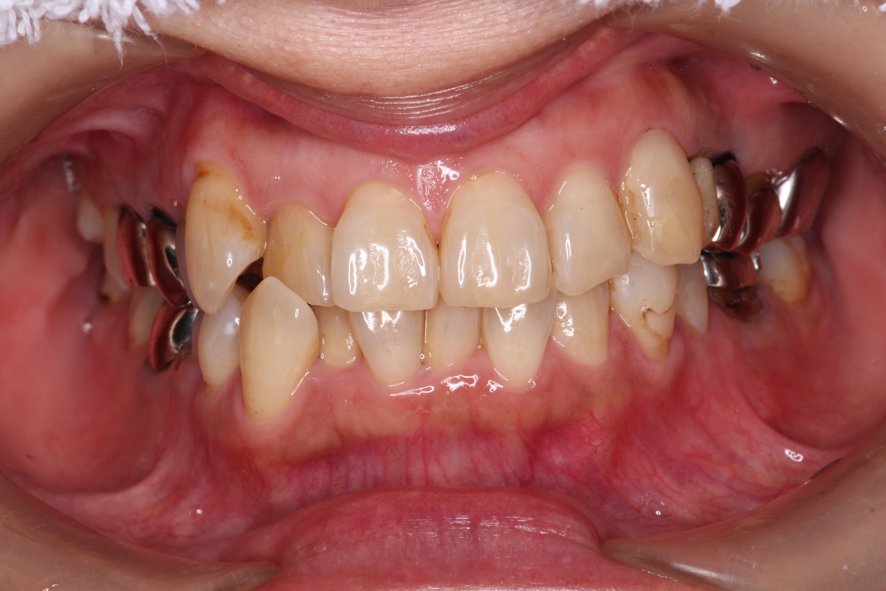
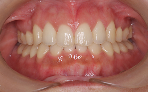
歯並びが悪い
前歯が
出ている
下顎が
出ている
すきっ歯
噛み合わせの
ズレ
咬み合わせが
深い
前歯が
咬み合わない
こんなお悩みは
ありませんか?
TROUBLE
01
矯正中の装置の
見た目が
気になる
02
矯正治療と聞くと
痛そう
03
通院する時間を
確保するのが難しい
04
費用が高くて
一括では払えない
05
金属アレルギーが心配で
矯正治療に踏み出せない
06
矯正中も食事や
スポーツを
楽しみたい
このようなお悩みには
マウスピース矯正が
おすすめです
Mouthpiece
マウスピース矯正をお考えの方は、
お電話もしくはWEBから
矯正相談をご予約ください
LINEやメールによるご相談も
受け付けております。
COMPARISON
矯正装置の比較
マウスピース矯正 ![]() |
ワイヤー矯正(表) ![]() |
ワイヤー矯正(裏) ![]() |
|
| 目立ちにくさ | マウスピースは薄く、透明なため目立ちにくい | 金属のワイヤーだと目立つが、ホワイトワイヤーなどを使用すると目立ちにくい | 歯の裏側にワイヤーを装着するので目立ちにくい |
| 取り外し | 簡単に取り外し可能 | 取り外しはできない | 取り外しはできない |
| 金属アレルギー | 金属アレルギーの心配はない | 金属アレルギーの心配がある | 金属アレルギーの心配がある |
| 痛み | ワイヤーを使用しないため痛みは少ない | 痛みや違和感がある | 痛みや違和感がある |
| 通院の間隔 | 1~2ヶ月に1回 | 月に1回程 | 月に1回程 |
| 治療費 | ワイヤー矯正に比べて安価 | マウスピース矯正より高い | ワイヤー矯正より高い |
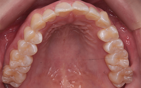
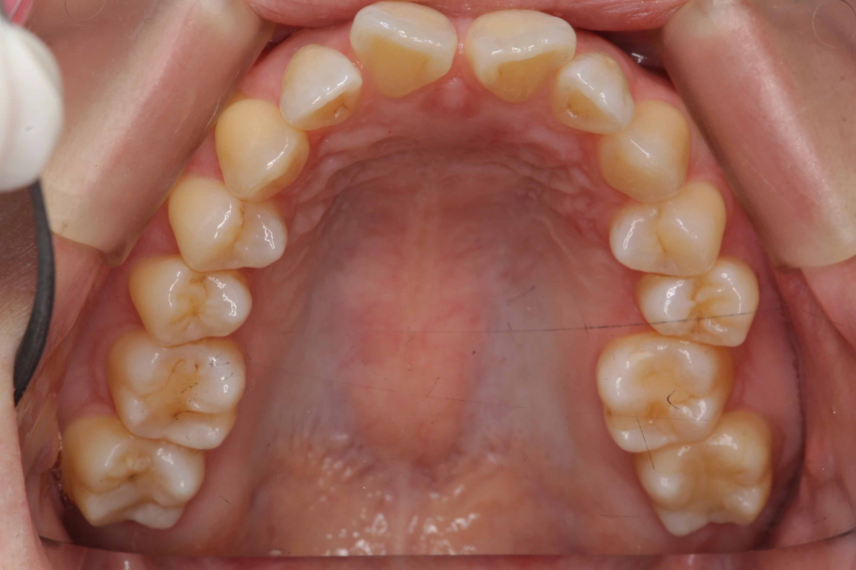
マウスピース矯正の
流れ
FLOW
01
ご予約
マウスピース矯正をご希望の方は矯正相談をご利用ください。矯正相談は予約制となっておりますのでお電話もしくはWEBから事前にご予約をお願いします。
また、LINE、もしくはメールにてオンライン相談を行うことも可能です。
02
カウンセリング
ご予約いただきました日時にご来院ください。カウンセリングでは、マウスピース矯正に関する疑問点やご要望についてお伺いいたします。
03
精密検査(税込5,500円)
パノラマ・セファロによるレントゲン撮影、口腔内スキャン、口腔内写真、顔貌写真などの精密検査を行います。
04
治療方針の決定
精密検査の結果をもとに、ご予算、治療期間に応じた3~4パターンの治療プランをご提案いたします。
05
矯正治療の開始
マウスピースをお渡しして矯正治療を開始していきます。1~2ヵ月に1度ご来院いただきます。
当院では、デンタルモニタリングというアプリを使用することでご自宅から遠隔で診療を受けることができます。
06
治療終了・保定期間へ
歯並びがキレイになっても、舌の癖などさまざまなことが原因で元の状態に戻ってしまうことがあります。キレイな歯並びを長く安定させるために、矯正後は保定装置(リテーナー)をつけます。保定期間中は、2~6ヶ月に一度通院していただき、噛み合わせや歯の状態をチェックします。
マウスピース矯正をお考えの方は、
お電話もしくはWEBから
矯正相談をご予約ください
LINEやメールによるご相談も
受け付けております。
PRICE
料金について
料金表
| 精密検査・相談料 | 5,500円 |
|---|---|
| インビザライン(ライトプラン)※1 | 429,000円 |
| インビザライン(スタンダードプラン)※1 | 649,000円 |
| インビザライン(エキスパートプラン)※1 | 858,000円 |
| 光加速装置(オプション) | 加速矯正装置 (振動型)55,000円 加速矯正装置 (光線型)165,000円 |
| 保定装置 | 33,000円 |
※費用は全て税込み表記です。
※1 本体価格と調整料込の費用となります。
お支払いについて
お支払は現金による一括払いの他、
クレジットカード、デンタルローンの
ご利用が可能です。



デンタルローンお支払例
この価格で
マウスピース矯正が
始められます
月
々
18,300
(税込)
円〜
※総額429,000円のマウスピース矯正を
24回払いでお支払いいただく場合の例。
医療費控除について
1月1日から12月31日までの1年間に支払った医療費が10万円以上の場合、税務署に確定申告をすることで医療費控除が受けられます。
所得税が還付されたり、住民税が軽減されたりする可能性がありますので、歯科医院でお支払いした際の領収書、通院による交通費などの領収書は、大切に保管するようにしましょう。
Q&A
マウスピース矯正Q&A
マウスピース矯正は痛いですか?
マウスピース矯正はゆっくりと歯を動かしていきますので、矯正中の痛みはほとんど感じないという方が多いです。
マウスピース矯正で対応できない症例はありますか?
不正咬合がひどく大きく動かす必要がある場合は、別の矯正方法の方が適している場合があります。
マウスピース矯正で抜歯を行うことはありますか?
極力抜歯をしないような方法を検討しますが、お口の状態により抜歯を行うケースもございます。
マウスピース矯正の装置を装着したまま食事はできますか?
マウスピース矯正の装置を装着したままの食事は、装置が破損してしまう恐れがあります。基本的には外して食事をするようにしてください。水は装着したままで問題なく飲んでいただいて大丈夫です。
矯正していることが他の人に分からないようにしたいのですが?
マウスピース矯正は透明で薄く目立たない素材なのでほとんど気づかれることはありませんのでおすすめです。
何歳から始められますか?
永久歯が生え揃い、成長が落ち着いてくる12歳を目安としています。5歳から始められるMRC矯正にも対応しておりますのでこちらをご参考になさってください。 MRCについて詳しはこちら>>
マウスピース矯正をお考えの方は、
お電話もしくはWEBから
矯正相談をご予約ください
LINEやメールによるご相談も
受け付けております。
ご挨拶
GREETING
理事長
吉田 信介
SHINSUKE YOSHIDA
皆さんの素敵な
笑顔のお手伝いを
いたします
吉田歯科・矯正歯科 豊中本院のマウスピース矯正サイトをご覧いただき有難うございます。
マウスピース矯正は、「歯並びをキレイにしたいけど、装置が目立つのは嫌だ」「人前で話す仕事をしているので治療中だと気づかれたくない」と考えている方におすすめの矯正治療です。
透明なマウスピースを装着して歯並びをキレイにしていきますので、装置を装着していても周りに気づかれることがほとんどありません。
また、当院ではデンタルモニタリングシステムという、遠隔で診察を受けられるようにしておりますので、治療期間中の通院も最低限に抑えることができます。
マウスピース矯正をご検討の方は、まずはお気軽に矯正相談をご利用ください。
For Your Smile
CLINIC
医院紹介
院内紹介
スタッフ一同
笑顔を心掛けて丁寧に
対応いたします
お気軽に
ご来院ください
Welcome


マウスピース矯正をお考えの方は、
お電話もしくはWEBから
矯正相談をご予約ください
LINEやメールによるご相談も
受け付けております。