この方法ならうちの子でも安心!
透明なマウスピースで
負担の少ない矯正治療
保育士による
託児サービス有
Myobrace
正式加盟
クリニック
| 診療時間 | 月 | 火 | 水 | 木 | 金 | 土 | 日 | 祝 |
|---|---|---|---|---|---|---|---|---|
| 9:30~13:00 | ● | ● | ● | ● | ● | ★ | / | / |
| 14:30~17:30 | ● | ● | ● | ● | ● | ★ | / | / |
★:9:30〜17:00 休診日:日曜日、祝日

この方法ならうちの子でも安心!
透明なマウスピースで
負担の少ない矯正治療
保育士による
託児サービス有
Myobrace
正式加盟
クリニック
| 診療時間 | 月 | 火 | 水 | 木 | 金 | 土 | 日 | 祝 |
|---|---|---|---|---|---|---|---|---|
| 9:30~13:00 | ● | ● | ● | ● | ● | ★ | / | / |
| 14:30~17:30 | ● | ● | ● | ● | ● | ★ | / | / |
★:9:30〜17:00 休診日:日曜日、祝日
前歯が出ている
指しゃぶりが治らない
顎が出ている
矯正したいけど装置が気になる
歯と歯の間にすき間がある
歯がガタガタしている
お口がいつもポカンと空いている
むし歯になりやすい

コンプレックスを
抱えてしまう
むし歯になり
やすくなる
うまく発音が
出来ない
など様々な問題が生じてしまいます

Point

Myobrace矯正が
おすすめです!
まずは矯正相談で
気になることを
ご相談ください

マウスピース型の矯正装置で
歯並びを悪くしてしまった
原因にアプローチ
Myobrace矯正とは、オーストラリアで生まれた小児期に行うマウスピース型の矯正治療です。
ただ歯並びをキレイに整えるだけではなく、歯並びが悪くなる「口呼吸」や「舌癖」などの原因を改善させながら正しい歯並びにしていきますので、治療後の後戻りが他の治療方法と比較するととても少ないのが特徴です。
お子さまの歯並びでお悩みの全ての方におすすめしたい矯正治療です。
ワイヤー矯正 |
Myobrace矯正 |
|
|---|---|---|
| 装置 | ![]() |
![]() |
| メリット |
|
|
| デメリット |
|
|
| 抜歯の有無 | 抜歯が必要となることもある | 抜歯はしない |
| 痛み | 多少の痛みがある | ほとんど痛みがない |
| 後戻り | 後戻りする可能性はある | 歯並びが悪くなる原因から改善するため後戻りがほとんどない |
日中1~2時間
の装着
1日数分
のトレーニング
寝るとき
に装着
Point
使用方法も簡単で負担が少ないから
子どもでも長続き
ができるんだ
Myobrace矯正は
様々な悪い歯並び(不正咬合)を
治してきた実績が豊富にあります。

前歯が出ている
(出っ歯)

下あごが出ている
(受け口)

すきっぱ
(空隙歯列)

歯ががたがた
(叢生)

噛み合わせが深い
(過蓋咬合)

前歯が噛み合わない
(開咬)

口呼吸
口呼吸をしている間は口がポカンと開いてしまいます。口が開いていると舌が正しい位置に収まらず歯並びが悪くなってしまいます。

悪習癖
指しゃぶりや爪を噛む、頬杖やよく噛まずに飲み込むなどの悪習癖を長い間続けてしまうと歯並びが悪くなってしまいます。

姿勢
姿勢が悪いと身体が歪んでしまい、その歪みが歯並びを悪くしてしまうこともありますので、正しい姿勢を身につけましょう。
Point
Myobrace矯正は原因を
解決していくから結果として後戻りの少ない
キレイな歯並びになるんだ
まずは矯正相談で
気になることを
ご相談ください
反対咬合の改善には、
上顎の発育を促す
早期のアプローチが重要です。
当院では、3〜5歳でマイオブレースの
アクティビティが難しいお子さまを対象に、
プレオルソを用いた0期治療を
行っています。
プレオルソは、上顎の成長を助けるとともに、
咬み合わせや口腔周囲筋のバランスを
整える効果も期待できます。
お子さまの成長段階に合わせて、定期的に
フォローしながら改善を目指します。
当院は、Myobrace矯正を開発した「Myofunctional Research Company」から認定を受け、「Myobrace® Member」に加盟している歯科医院です。
加盟するには下記の条件を
満たす必要があります

当院では、見た目をただキレイにするだけではなく、将来にわたり正しい噛み合わせで健康な生活を送れることも考えた矯正治療を行っています。

Myobrace矯正は、装置を装着するだけではなく、歯並びが悪くなってしまった原因を解決するための、お口周りの筋肉を鍛えるトレーニングを行うことが大切です。
そのトレーニングをできるだけ楽しく効率的に取り組めるように専用の部屋をご用意しています。
専門トレーナーも在籍しています
トレーニング方法を指導する専門のトレーナーも在籍しています。
トレーナーと一緒に楽しくトレーニングを行いキレイな歯並びを目指しましょう。

当院では保育士の資格を持った専門スタッフによる託児サービスを行っております。
そのため、「兄弟姉妹がいて上の子が治療中下の子を見ていてほしい」という親御さんはお気軽に託児サービスをご利用ください。
託児時間:月曜・火曜・木曜 9:30〜13:00
※予約制となっております
託児サービスご利用のお約束



当院では、患者さんと医院の「懸け橋」の役割をになうカウンセラーが在籍しております。
「先生には言いにくいな」「こんなこと聞いて大丈夫かな」など、ご不安に感じられていることやご要望などございましたらお気軽にご相談ください。



当院では、器具類に対する滅菌・消毒を徹底しております。
手袋やコップなど、使い捨てにできるものは全て使い捨て製品を使用したり、治療器具は全て高圧蒸気滅菌器(オートクレーブ)による滅菌を行っております。
滅菌した器具はパック保存し使用する直前に開封するようにしております。

高圧蒸気滅菌器

ハンドピース専用
滅菌器

滅菌パック

使い捨て製品
の活用
当院は厚生労働省が認める安全基準
である
歯科外来診療環境体制
(外来環)
を取得しています
Point
「安心して通える」
を心がけた取り組みが評価され遠方からも
沢山通っていただけているんだ
まずは矯正相談で
気になることを
ご相談ください


矯正相談
お子さまの歯並びで気になることがありましたら、一度当院の矯正相談をご利用ください。
気になる症状や疑問点、不安点等をヒアリングさせていただきます。その後レントゲン撮影を行いおおまかな治療期間や費用をお伝えさせていただきます。


精密検査
矯正治療を始める前に、まずは口腔内やお顔の撮影など精密検査を行います。
レントゲン撮影(必要によってCT撮影)、そして顎の関節の検査等を行います。
痛みを伴う検査はございませんのでご安心ください。


治療計画のご説明
精密検査の結果をもとに治療計画の説明をさせていただきます。治療期間や費用、治療の進め方などをお伝えいたします。
親御さんだけではなく、お子さまにも理解していただいてから治療を開始します。
ご家族で矯正治療についてしっかりと相談してお考えください。


治療開始
ご納得いただけましたら最終的に決定した治療計画に沿って治療を開始します。
装置の使用方法やお手入れの仕方もご説明いたします。
治療は、基本的には1~2ヶ月に1度ご来院していただき、装置や治療経過など、状態を確認しながら進めていきます。
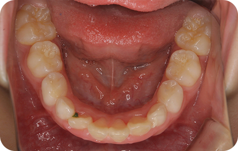
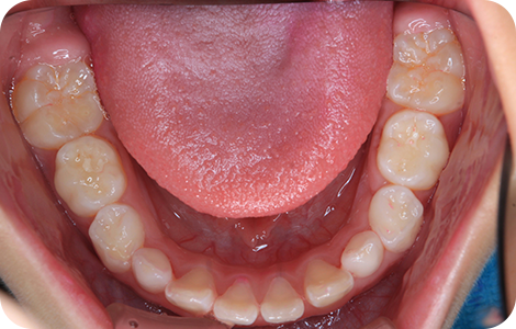
①子どもの開咬(前歯噛んでない)の矯正
BEFORE

AFTER

| 施術の説明 | 開咬を早期に改善する治療 |
|---|---|
| リスク・副作用 | 装置が入ることにより、虫歯のリスク、発音嚥下障害また一時的な顔貌の変化、正中の離開が起こります。 |
| 費用 | 462,000円 |
※税込表記です。
②子どもの矯正
BEFORE

AFTER

| 施術の説明 | 叢生を早期に改善する治療 |
|---|---|
| リスク・副作用 | 装置が入ることにより、虫歯のリスク、発音嚥下障害また一時的な顔貌の変化、正中の離開が起こります。 |
| 費用 | 462,000円 |
※税込表記です。
③子どもの反対咬合
BEFORE

AFTER

| 施術の説明 | 反対咬合を早期に改善する治療 |
|---|---|
| リスク・副作用 | 装置が入ることにより、虫歯のリスク、発音嚥下障害また一時的な顔貌の変化、正中の離開が起こります。 |
| 費用 | 462,000円 |
※税込表記です。
④子どもの過蓋咬合
BEFORE

AFTER

| 施術の説明 | 過蓋咬合を改善する治療 |
|---|---|
| リスク・副作用 | 装置が入ることにより、虫歯のリスク、発音嚥下障害また一時的な顔貌の変化、正中の離開が起こります。 |
| 費用 | 462,000円 |
※税込表記です。
⑤子どもの矯正
BEFORE

AFTER

| 施術の説明 | 上顎のスペース不足と下顎の叢生を改善する治療 |
|---|---|
| リスク・副作用 | 装置が入ることにより、虫歯のリスク、発音嚥下障害また一時的な顔貌の変化、正中の離開が起こります。 |
| 費用 | 462,000円 |
※税込表記です。
⑥子どもの矯正
BEFORE

AFTER

| 施術の説明 | 上顎のスペース不足と下顎の叢生を改善する治療 |
|---|---|
| リスク・副作用 | 装置が入ることにより、虫歯のリスク、発音嚥下障害また一時的な顔貌の変化、正中の離開が起こります。 |
| 費用 | 462,000円 |
※税込表記です。
⑦子どもの矯正
BEFORE

AFTER

| 施術の説明 | 上顎のスペース不足と下顎の叢生を改善する治療 |
|---|---|
| リスク・副作用 | 装置が入ることにより、虫歯のリスク、発音嚥下障害また一時的な顔貌の変化、正中の離開が起こります。 |
| 費用 | 462,000円 |
※税込表記です。
⑧子どもの矯正
BEFORE

AFTER

| 施術の説明 | 上顎のスペース不足と下顎の叢生、顎偏位を改善する治療 |
|---|---|
| リスク・副作用 | 装置が入ることにより、虫歯のリスク、発音嚥下障害また一時的な顔貌の変化、正中の離開が起こります。 |
| 費用 | 462,000円 |
※税込表記です。
⑨子どもの矯正
BEFORE

AFTER

| 施術の説明 | 反対咬合を早期に改善する治療 |
|---|---|
| リスク・副作用 | 装置が入ることにより、虫歯のリスク、発音嚥下障害また一時的な顔貌の変化、正中の離開が起こります。 |
| 費用 | 462,000円 |
※税込表記です。
⑩子どもの矯正
BEFORE

AFTER

| 施術の説明 | 叢生を早期に改善する治療 |
|---|---|
| リスク・副作用 | 装置が入ることにより、虫歯のリスク、発音嚥下障害また一時的な顔貌の変化、正中の離開が起こります。 |
| 費用 | 462,000円 |
※税込表記です。
⑪子どもの矯正
BEFORE

AFTER

| 施術の説明 | 反対咬合を早期に改善する治療 |
|---|---|
| リスク・副作用 | 装置が入ることにより、虫歯のリスク、発音嚥下障害また一時的な顔貌の変化、正中の離開が起こります。 |
| 費用 | 462,000円 |
※税込表記です。
⑫子どもの矯正
BEFORE

AFTER

| 施術の説明 | 開咬を早期に改善する治療 小児矯正1期治療→インビザライン |
|---|---|
| リスク・副作用 | 装置が入ることにより、虫歯のリスク、発音嚥下障害また一時的な顔貌の変化、正中の離開が起こります。 |
| 費用 | 合計825,000円 |
※税込表記です。
⑬子どもの矯正
BEFORE

AFTER

| 施術の説明 | 上顎のスペース不足と下顎の叢生を改善する治療 |
|---|---|
| リスク・副作用 | 装置が入ることにより、虫歯のリスク、発音嚥下障害また一時的な顔貌の変化、正中の離開が起こります。 |
| 費用 | 合計462,000円 |
※税込表記です。
| 相談 | 無料 |
|---|---|
| 0期治療(3歳~5歳) | 99,000円 |
| 6歳~7歳 | 462,000円(装置料+技術料) |
| 8歳~9歳 | 495,000円(装置料+技術料) |
| 10歳~ | 550,000円(装置料+技術料) |
※税込表記です。
分割払いにも対応しています
※462,000円をデンタルローン84回払いで
お支払いいただく場合の例
Point
矯正治療は高い
イメージがある方も多いけど
月々お支払いやすい金額
で始めることができるんだ
まずは矯正相談で
気になることを
ご相談ください

近年、食生活の変化により食物が柔らかくなってきて、そのため噛む回数が減ってきています。
子どもたちのアゴはどんどん小さくなってきて、歯が並ばない子供たちが増えてきています。
矯正医は「歯が生えそろってから抜歯して矯正しましょう」と言うことがほとんどだと思います。
私もこの矯正を学ぶ前はそう言っていました。
しかし、「そういった歯並びの悪い子供たちのほとんどが上あごの発育が足りていなく、それにより鼻呼吸ができずに体のあちこちにひずみが出ている」と矯正を勉強していくうちわかってきました。
MRC矯正は顎骨の正常な発育を引き出し、永久歯がキレイに並ぶためのスペースを確保することにより、正しく歯が並ぶというものです。
鼻で呼吸ができることで、口呼吸による体の異常を治し、良質な睡眠ができることで不自由のない日常生活を送ることができる。
この矯正は発育期の子供たちの豊かな人生に歯科医師として貢献できる矯正治療だと確信しております。
お子さまの成長は待っていてくれません。
質の高い呼吸、質の高い睡眠、丈夫な身体、きれいな歯並びこれらをかけがえのない財産として、一人でも多くのお子さまに持たせてあげたいと願っています。
略歴
re+sign=design
より快適な治療は医師と患者さんの心が通じ合ってからこそ
出来るものと考えております。
また、心身ともにリラックスした状態で
矯正治療に臨んでいただくことを第一に考えております。
研鑽を重ねた技術と充実の設備で患者さんのご要望に
全力でお応えいたします。
マウスピースは学校にもつけていくのでしょうか?
マウスピースは学校につけていく必要はありません。日中に最低1~2時間と就寝時の装着で大丈夫です。
矯正に関心があるのですが、どのタイミングで受診するのが良いですか?
矯正治療は早めに行うことをおすすめしております。気になった時・関心を持った時にご相談ください。実際に口腔内を見せていただき、最適な開始時期などをご提案させていただきます。
治療期間はどれくらいですか?
Myobrace矯正は、目安として2年くらいの治療期間となります。ただ、トレーニングなどをきちんと行っていただけていない場合は、矯正期間が長くかかる場合がございます。
矯正治療中はどのくらいの間隔で歯科医院への通院が必要ですか?
基本的には、1ヶ月に1回の通院で大丈夫です。状況によっても変わってくるため、その時々にあわせてお伝えさせていただきます。
痛くありませんか?
ブラケットを使用した矯正治療ですと痛みが出ることは多いですが、Myobrace矯正ではほとんど痛みはありません。稀に痛みがあるお子さまもいらっしゃいますが、数日だけで次第に痛みは無くなくなります。痛みが苦手なお子さまも安心していただければと思います。