矯正歯科
豊中で
3,000件
以上の実績
(2025年9月時点)
精密
デジタル診断
自宅でできる
オンライン
診察
自分に合った治療プランで
理想のEラインを目指す矯正歯科治療
豊中の歯医者 吉田歯科・矯正歯科では、
嚙み合わせから横顔の美しさ(Eライン)まで
お口周り全体を診断したうえで患者様に合わせた
最適な治療プランを提案いたします。
豊中の矯正歯科
吉田歯科・矯正歯科 豊中本院
矯正レベル診断 実施中
矯正が必要かどうか、
マウスピース矯正で対応できるかどうか――
まずは矯正レベル診断で“あなたのお口の歯並びレベル”をチェックしてみませんか?
「自分の歯並びって、どのくらいの矯正が必要なんだろう?」
「マウスピース矯正(インビザライン)で治せるレベルなのかな?」
そんな疑問をお持ちの方に向けて、吉田歯科・矯正歯科 豊中本院では矯正レベル診断を行っています。
お口の状態をチェックし、矯正が必要かどうか、どんな方法が適しているかをわかりやすくお伝えします。
豊中の矯正歯科
吉田歯科・矯正歯科 豊中本院
吉田歯科の矯正 マウスピース矯正
「インビザライン」
豊中の歯医者 吉田歯科・矯正歯科 豊中本院 では、成人の矯正歯科治療のためマウスピース矯正「インビザライン」を導入しています。
マウスピース矯正(インビザライン)は、透明なマウスピースを用いて歯並びを整える矯正治療です。
装置が目立ちにくいため、見た目に配慮しながら治療を進めたい方にも選ばれています。
取り外しが可能なので食事や歯みがきもしやすく、普段の生活習慣を大きく変えることなく続けられる点も特徴です。
インビザラインは世界的に多くの臨床実績を持つマウスピース型矯正装置で、幅広い症例に対応できる治療方法として活用されています。
出っ歯や受け口、すきっ歯、かみ合わせのずれなど、さまざまな歯並びのお悩みに応じて治療計画をご提案いたします。
まずはカウンセリングで現在のお口の状態を確認し、治療期間や費用の目安、通院の流れをご説明いたします。
豊中の矯正歯科
吉田歯科・矯正歯科 豊中本院
吉田歯科のマウスピース矯正の特徴
豊中で矯正歯科を選ぶなら、吉田歯科・矯正歯科豊中本院へ。
見た目の美しさはもちろん、口腔機能やEライン、そしてお顔全体のバランスまで考え抜いた矯正歯科治療をご提供します。
1.口腔機能×Eライン×お顔全体バランス
近年、費用や期間の手軽さだけを優先して矯正歯科治療を受けた結果、噛みにくさや後戻りで後悔…という声も耳にします。
当院では、見た目の美しさに加えて「正しく噛める機能性」「横顔のEライン」「お顔全体のバランス」を総合的に判断して最適な矯正治療計画をご提案します。
長期的な安定を目指し、見た目も健康面も整ったお口づくりをサポートします。
2.症状レベルに応じた定額プラン
費用が明確で経済面も安心して矯正治療をスタートできるよう、わかりやすい料金プランを用意しています。
「矯正治療の総額が分からない‥」などの不安を軽減し、経済的にも計画的に矯正歯科治療を始めることができます。
| ライトプラン | 429,000円(税込) |
|---|---|
| スタンダードプラン | 649,000円(税込) |
| エキスパートプラン | 858,000円(税込) |
3.スマホでカンタン!
自宅でオンライン矯正診療
通院の負担を軽減するため、スマートフォンを活用した診療サポートを導入しています。ご自宅からでも歯並びの経過を確認でき、ちょっとした不安や疑問も気軽に相談可能。
「忙しくて通院が大変」「小さなお子様がいて外出が難しい」などの方にも無理なく矯正治療を続けていただけます。
4.矯正歯科治療の期間短縮をサポートする
「加速装置」
吉田歯科・矯正歯科 豊中本院では、マウスピース矯正(インビザライン)の治療期間短縮をサポートする専用の補助装置を導入しています。
この加速装置は、歯の移動を促進することで、治療の進行を加速させ、結果的に矯正期間の短縮を目指します。
※装置の使用可否や短縮される期間の程度は個人の症状により変動します。詳細は医師へご相談ください。
5.総合歯科医院ならではのトータルケア
矯正歯科治療中は、装置の影響でどうしても口腔内の環境が変化しやすく、むし歯や歯ぐきのトラブルが起こる可能性があります。
マウスピース矯正の場合は歯みがきがしやすいという利点もありますが、それでも普段以上に口腔ケアへの注意が必要です。
豊中の歯医者 吉田歯科・矯正歯科は総合歯科であり、むし歯・歯周病の予防処置やクリーニングを含め、矯正治療と並行してお口全体をサポートする体制を整えています。
治療中も健康な口腔環境を保ちながら、矯正歯科治療を続けられるようお手伝いします。
6.精密検査機器を活用した治療計画づくり
吉田歯科・矯正歯科 豊中本院では、CTによる立体的な画像診断や口腔内スキャナーを活用し、矯正治療に必要なお口の情報を多角的に確認しています。
従来のように印象材を口に含む型取りとは異なる方法を取り入れることで、患者様の負担を和らげながら、精密な矯正歯科 治療計画を立てやすくなります。
こうした精密検査を通じて、歯や顎の状態をより詳しく把握し、一人ひとりの症例に合わせた矯正歯科治療計画をご提案いたします。
豊中の矯正歯科
吉田歯科・矯正歯科 豊中本院
過去3,000件以上の矯正歯科
症例実績
吉田歯科・矯正歯科 豊中本院は、大阪市豊中の地域に根ざして15年以上にわたり矯正治療に取り組んできた実績を持ち、これまでに3,000症例以上の治療経験を積み重ねてまいりました。(※2025年9月時点)
多様な矯正歯科治療の症例に基づく経験をもとに、患者様一人ひとりの症状やご希望に合わせた矯正歯科治療計画をご提案しています。
また、患者様の症例によっては、マウスピース矯正を使用して比較的短期間(最短3か月から実績あり)で矯正歯科治療を終えられたケースもあり、矯正治療を検討される方のライフスタイルに合わせた柔軟な対応が可能です。
さらに、矯正歯科治療を始めやすいよう月々18,300円(税込)からご利用いただける分割プランもご用意しており、費用面でもご相談いただけます。
矯正治療
15年以上
(2025年9月時点)
症例件数
3,000件以上
(2025年9月時点)
矯正治療
最短3か月
(2025年9月時点)
月々
18,300
スタート可能
円〜
(税込)
豊中の矯正歯科
吉田歯科・矯正歯科 豊中本院
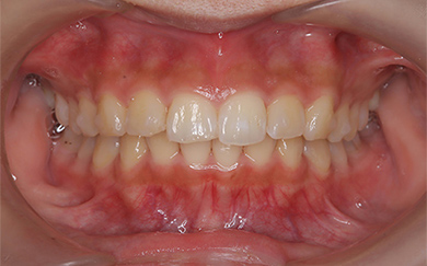
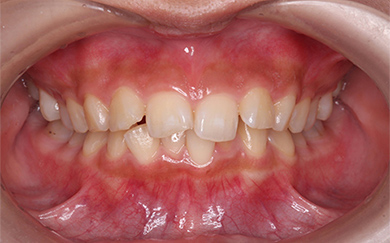
マウスピース矯正 症例紹介
当院の矯正歯科治療 マウスピース矯正(インビザライン)は、ガタガタ歯並び(叢生)や出っ歯、すきっ歯など様々な症例に対応しています。吉田歯科・矯正歯科 豊中本院で行ったマウスピース矯正の症例を一部ご紹介します。
症例紹介専用のInstagramアカウントでは、矯正治療の一部を写真や解説とともに掲載しています。
矯正治療をご検討中の方は、ぜひ参考にこちらもご覧ください!
豊中の矯正歯科
吉田歯科・矯正歯科 豊中本院
マウスピース矯正(インビザライン)
のプラン費用
料金表
| 精密検査・相談料 | 5,500円(税込) |
|---|---|
| インビザライン(ライトプラン)※1 | 429,000円(税込) |
| インビザライン(スタンダードプラン)※1 | 649,000円(税込) |
| インビザライン(エキスパートプラン)※1 | 858,000円(税込) |
| 光加速装置(オプション) | 加速矯正装置(振動型)55,000円(税込) 加速矯正装置(光線型)165,000円(税込) |
| 保定装置 | 33,000円(税込) |
※1 本体価格と調整料込の費用となります。
豊中の矯正歯科
吉田歯科・矯正歯科 豊中本院
マウスピース矯正(インビザライン)
特設サイト
豊中でマウスピース矯正(インビザライン)を検討される方に向けて、吉田歯科・矯正歯科 豊中本院の特設サイトをご用意しています。治療の特徴や症例をご覧いただけますので、ぜひこちらもご覧ください。









